UNSERE FACHBEREICHE

Innere Medizin

Unser Fachbereich Innere Medizin befasst sich mit der Vorbeugung, Diagnostik, konservativen und interventionellen Behandlungen von Erkrankungen der inneren Organe. Hierzu gehören die Atmungsorgane, das Herz-Kreislauf-System, die Verdauungsorgane, die Nieren, das Blut und die blutbildenden Organe sowie die hormonbildende Organe und das Immunsystem

Auch die Diagnose und Behandlung von Infektionserkrankungen, Vergiftungen und Tumorerkrankungen zählen zum Gebiet der inneren Medizin. Die intensivmedizinische Betreuung von schwerst erkrankten Patienten wird ebenfalls von unseren Spezialisten der inneren Medizin durchgeführt. Im Folgenden finden Sie einen Überblick über häufig auftretende internistische Erkrankungen und deren Behandlungsmöglichkeiten in unserer Klinik.

Die innere Medizin bedient sich vieler diagnostischer und bildgebender Verfahren, die wir mit unserem hauseigenen Labor abdecken können. Untersuchungsergebnisse stehen dabei meist noch während Ihres Besuches zur Verfügung und können so im Rahmen der internistischen Sprechstunde besprochen werden. 

Erkrankungen & Therapien

Diabetes mellitus

top

Diabetes mellitus oder „Zuckererkrankung“ entsteht durch eine fehlende oder verminderte Ausschüttung von Insulin aus der Bauchspeicheldrüse. Dies führt dazu, dass Körperzellen nicht mehr in der Lage sind, Zucker (und somit Energie) aufzunehmen, bzw. abzubauen. Der gesamte Zucker, der mit Nahrung aufgenommen wird, verbleibt im Blut und führt somit zu einem erhöhten Blutzuckerspiegel.

Bleibt die Erkrankung unbehandelt, kann sie zu einer lebensbedrohlichen Stoffwechselentgleisung, der sogenannten „diabetischen Ketoazidose“ führen. Die typischen Symptome eines Diabetes mellitus sind dabei vermehrtes Trinken, vermehrter Urinabsatz, vermehrte Futteraufnahme sowie Gewichtsverlust. In späteren Stadien kann es v.a. bei der Katze zu einer Schwäche der Hinterhand kommen. Beim Hund hingegen kann ein Diabetes mellitus zu einer Eintrübung der Sehlinsen führen.

Diagnostiziert wird diese Erkrankung über einen erhöhten Blutzuckerspiegel, eine erhöhte Zuckerkonzentration im Urin und über einen erhöhten Langzeitzuckerwert (Fructosamin). Therapiert wird ein Diabetes mellitus durch zweimal tägliche Gabe von Insulin

Hyperthyreose

top

Die Hyperthyreose ist eine der häufigsten endokrinologischen Erkrankung der mittelalten bis alten Katze. Hierbei produziert ein meist gutartiger Tumor in der Schilddrüse eine zu große Menge des Schilddrüsenhormons T4. Dies führt zu einer erhöhten Stoffwechselrate, welche zu einem schnelleren Herzschlag, zu einem Bluthochdruck und zu Nierenschäden führen kann.

Typische Symptome sind Gewichtsverlust, vermehrte Futteraufnahme, Erbrechen, Durchfall, vermehrtes Trinken und vermehrter Urinabsatz. Diagnostiziert wird die Erkrankung über die Bestimmung eines erhöhten T4-Wertes. Therapiert wird mit einem Medikament, das die übermäßige Ausschüttung von T4 aus der Schilddrüse hemmt.

Hypothyreose

top

Die Hypothyreose entsteht durch eine langsame Zerstörung von Schilddrüsengewebe, vermutlich durch autoimmune Prozesse. Dies führt zu einer verminderten Ausschüttung des Schilddrüsenhormons T4. Diese Erkrankung kommt vor allem bei mittelgroßen-großen Hunden mit einem Alter ab drei Jahren vor.

Typische Symptome sind Lethargie, Fell- und Hautveränderungen und Gewichtszunahme. Diagnostiziert wird die Erkrankung über einen erniedrigten T4-Spiegel im Zusammenhang mit einem erhöhten TSH. TSH ist ein Hormon, dass in der Hirnanhangsdrüse ausgeschüttet wird und die Schilddrüse stimulieren soll mehr T4 auszuschütten. Therapiert wird die Erkrankung mit der Substitution von Schilddrüsenhormonen in Tablettenform.

Lungenwurminfektion

top

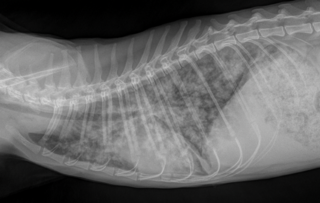
Eine in den letzten Jahren immer häufiger diagnostizierte Erkrankung der Lunge ist die Infektion mit Lungenwürmern. In Deutschland kennen wir beim Hund vier Arten diese Parasiten: „Angylostrongylus vasorum“, „Crenosoma vulpis“, „Oslerus osleri“ und „Filaroides hirthi“. Bei der Katze wird in Deutschland hauptsächlich „Aerulostrongylus abstrus“ diagnostiziert. 

Symptome sind je nach Schwere und Art des Lungenwurmbefalls leichter bis starker Husten bis hin zur Atemnot. Als Folgeschaden einer Infektion mit „Angylostrongylus vasorum“ kann ein Rechtsherzversagen auftreten. Erste Hinweise auf eine Infektion kann bereits ein Röntgenbild des Brustkorbes ergeben – hier erkennt man deutliche Hinweise auf eine mehr oder weniger starke Entzündung der Bronchien (Bronchitis).

Morbus Addison

top

Morbus Addison oder „Hypoadrenocortizismus“ beschreibt eine Erkrankung, in der es durch die langsame Zerstörung der Nebennierenrinde zu einem Mangel an Mineralkortikoiden und Glucocorticoiden kommt. Als Folge entsteht ein fehlerhafter Elektrolyt- und Zuckerstoffwechsel.

Typische Symptome dieser Erkrankung sind unter anderem vermehrtes Trinken, vermehrter Urinabsatz, Erbrechen, Durchfall, Muskelschwäche. Unentdeckt kann es zu einer sogenannten „Addison Krise“ kommen, welche lebensbedrohlich ist. Diagnostiziert wird ein Hypoadrenocortizismus mit Hilfe eines ACTH-Stimulationstest. Ist der Morbus Addison diagnostiziert, kann er mit einem Depot-Mineralkortikoid (DOCP) und niedrigen Dosierungen von Glucocorticoiden (Prednisolon) therapiert werden.

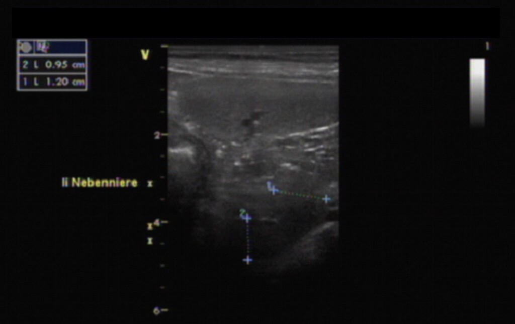
Morbus Cushing

top

Morbus Cushing oder „Hyperadrenokortizismus“ beschreibt eine Überfunktion der Nebennierenrinde. Diese kann verursacht werden durch einen kleinen Tumor in der Hirnanhangsdrüse, welcher die Nebennieren permanent dazu stimuliert, Kortisol zu bilden. Die Folge ist ein Wachstum beider Nebennieren. Ebenfalls möglich ist, dass sich in einer der beiden Nebennieren ein Tumor bildet, der eigenständig Kortisol produziert. Hierdurch wird die andere Nebenniere kleiner, da sie kein Kortisol mehr produzieren muss.

Typische Symptome einer solchen Erkrankung sind unter anderem vermehrtes Trinken, vermehrter Urinabsatz, Haarverlust, Verfärbungen der Haut, ständiger Hunger und vermehrtes Hecheln. Zur Diagnose werden verschiedene Parameter erhoben:

  1. Der Cortisolspiegel im Urin
  2. Ultraschalluntersuchung der Nebennieren
  3. Der sogenannte Low-Dose-Dexamethason-Test

Steht die Diagnose fest ist eine Behandlung wichtig: im weiteren Verlauf kann es sonst zu lebensbedrohlichen Zuständen aufgrund des permanenten Kortisol Einflusses kommt. Hierzu wird ein Medikament verwendet, welches die Kortisolbildung in der Nebenniere hemmt („Trilostan“).

Diagnose & Verfahren

Blutuntersuchungen

top

Unser klinikeigenes Labor ermöglicht uns die exakte und zeitnahe Erstellung von Blutbildern, klinischer Chemie, Blutgasanalysen und Gerinnungsanalysen. In der Zusammenarbeit mit externen Laboren führen wir Leberfunktionstests und endokrinologische Funktionstests aus oder diagnostizieren Infektionserkrankungen sowie Autoimmunerkrankungen.

Kotuntersuchungen

top

Zur Endoparasitendiagnostik oder bei Verdauungsstörungen führen wir ausführliche Kotuntersuchungen durch.

Gehirnwasseruntersuchungen

top

Bei Infektionserkrankungen (siehe auch Neurodiagnostik) können wir ausführliche Gehirnwasseruntersuchungen durchführen.

Feinnadelaspiration

top

Bei der ultraschallgestützen Feinnadelaspiration der inneren Organe werden unter Ultraschallkontrolle mit einer feinen Nadel Zellen aus Bauch- oder Brustorganen entnommen und zytologisch untersucht. Dies dient der Diagnose von Entzündungen oder Tumorerkrkankungen.

TRU-CUT Biopsie

top

Bei der ultraschallgestützten TRU-CUT Biopsie der inneren Organe werden unter Ultraschallkontrolle mit einer Hohlnadel und einem speziellen Gewebsstanzapparat Gewebestücke aus Bauch- oder Brustorganen entnommen und histopathologisch untersucht. Dies dient zur Diagnose von Entzündungen oder Tumorerkrkankungen.

Blutdruckmessung

top

Blutdruckmessungen führen wir mittels HDO-Blutdruckmessgeräten (Goldstandard in der Blutdruckmessung) und der Doppler-Methode durch.

Endoskopische Untersuchungen

top

Bei endoskopischen Untersuchungen wird mit einer kleinen Kamera die Schleimhaut des jeweiligen Organs beurteilt. Im Anschluss werden zur weiteren Befundung meist Biopsien entnommen.

  • Rektoskopie (Enddarm)
  • Tracheobronchoskopie (Kehlkopf, Luftröhre und Bronchien)
  • Endoskopisches Bild Bronchien und Kehlkopf
  • Lungenspülproben
  • Zystoskopie (Harnblase)

Über uns

Mit einem fachlich hoch spezialisierten Ärzteteam und insgesamt rund 100 Mitarbeitern stehen wir Ihnen an 365 Tagen im Jahr 24 Stunden zur Verfügung.

Die Kleintierklinik in Ludwigsburg-Oßweil ist seit 1992 das tiermedizinische Kompetenzzentrum im Großraum Ludwigsburg und Stuttgart.

Kontakt

AniCura Ludwigsburg Oßweil GmbH
Karl-Heinrich-Käferle-Str. 2
D-71640 Ludwigsburg

Tel. 07141 - 299 90 30
(Mo. - Fr. 08:00 - 18:00 Uhr)

Kleintierklinik in Ludwigsburg-Oßweil – Ihr Team fürs Tier!

Social Media

Auch über soziale Medien können Sie sich einen Einblick in unsere Klinik verschaffen!

© 2026 AniCura Ludwigsburg Oßweil GmbH
Einstellungen gespeichert
Datenschutzeinstellungen

Der Schutz Ihrer Privatsphäre liegt uns sehr am Herzen – größtmögliche Datensparsamkeit ist unser Ziel. Ihre Daten werden niemals an Dritte weitergegeben. Wir verwenden keine Dienste von Drittfirmen wie bspw. Google, die Ihre Daten weiter verarbeiten.

Technisch erforderliche Cookies werden immer geladen.

Der Schutz Ihrer Privatsphäre ist uns sehr wichtig – wir verwenden keine Dienste von Drittfirmen wie bspw. Google, die Ihre Daten weiter verarbeiten. Die Ergebnisse unserer Matomo-Statistiksoftware werden nur von uns zur Verbesserung unserer Website ausgewertet. Wir nutzen keine Dienste wie bspw. Google Analytics oder Google Webfonts. Unsere interaktiven Karten kommen ausschließlich von OpenStreetMap.

Domainname: www.kleintierklinik-lb.de
Ablauf: 30 Tage
Speicherort: Localstorage
Beschreibung: Speichert die Privacy Level Einstellungen aus dem Cookie Consent Tool "Privacy Manager".

user_privacy_settings_expires

Domainname: www.kleintierklinik-lb.de
Ablauf: 30 Tage
Speicherort: Localstorage
Beschreibung: Speichert die Speicherdauer der Privacy Level Einstellungen aus dem Cookie Consent Tool "Privacy Manager".

ce_popup_isClosed

Domainname: www.kleintierklinik-lb.de
Ablauf: 30 Tage
Speicherort: Localstorage
Beschreibung: Speichert, dass das Popup (Inhaltselement - Popup) durch einen Klick des Benutzers geschlossen wurde.

view_isGrid

Domainname: www.kleintierklinik-lb.de
Ablauf: 30 Tage
Speicherort: Localstorage
Beschreibung: Speichert die gewählte Listen/Grid Ansicht in der Demo CarDealer / CustomCatalog List.

portfolio_MODULE_ID

Domainname: www.kleintierklinik-lb.de
Ablauf: 30 Tage
Speicherort: Localstorage
Beschreibung: Speichert den gewählten Filter des Portfoliofilters.

Eclipse.outdated-browser: "confirmed"

Domainname: www.kleintierklinik-lb.de
Ablauf: 30 Tage
Speicherort: Localstorage
Beschreibung: Speichert den Zustand der Hinweisleiste "Outdated Browser".
Shift+Alt+A ESC to Close
Bedienungshilfen
Shift + Alt + M
Shift + Alt + I
Shift + Alt + N
Shift + Alt + K
You are using an outdated browser. The website may not be displayed correctly.